अगली ख़बर
Newszop

Teeth Care Tips- शरीर में इस विटामिन की कमी से होने लगते हैं दांत खराब, जानिए कौनसा हैं वो विटामिन

Send Push

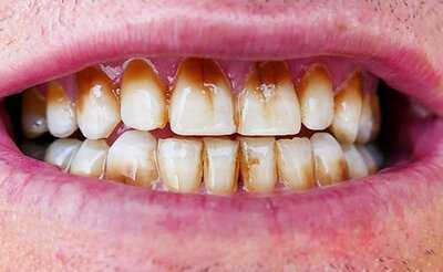
दोस्तो शरीर को स्वस्थ बनाए रखने के लिए हमें विटामिन बहुत ही जरूरी हैं, शरीर में विटामिन की कमी से कई प्रकार की स्वास्थ्य समस्याएं होती हैं, दांतों की बीमारी भी इससे हो सकती हैं, कुछ विटामिनों की कमी से दांत कमज़ोर हो सकते हैं, मसूड़ों की समस्याएँ हो सकती हैं और यहाँ तक कि दांतों में सड़न भी हो सकती है। दांतों के स्वास्थ्य के लिए कौन से विटामिन ज़रूरी हैं, यह समझकर आप एक मज़बूत और स्वस्थ मुस्कान बनाए रखने के लिए सही कदम उठा सकते हैं। आइए जानते हैं इन विटामिनव के बारे में-

image

1. विटामिन B12

विटामिन B12 की कमी से धीरे-धीरे दांतों में सड़न और मौखिक स्वास्थ्य संबंधी समस्याएँ हो सकती हैं। यह विटामिन स्वस्थ नसों और रक्त कोशिकाओं को बनाए रखने के लिए ज़रूरी है।

स्रोत: डेयरी उत्पाद, अंडे, चिकन, मछली, समुद्री भोजन और फोर्टिफाइड खाद्य पदार्थ।

2. विटामिन C

विटामिन C स्वस्थ मसूड़ों और दांतों की सड़न को रोकने के लिए ज़रूरी है। इस विटामिन की कमी न केवल आपके दांतों को प्रभावित करती है, बल्कि आपकी प्रतिरक्षा प्रणाली को भी कमज़ोर करती है।

स्रोत: ब्रोकली, संतरा, आंवला, शिमला मिर्च और स्ट्रॉबेरी।

image

3. विटामिन D

विटामिन D शरीर को कैल्शियम अवशोषित करने में मदद करता है, जिससे दांत और हड्डियाँ मज़बूत होती हैं। विटामिन D की कमी से आपके दांत समय से पहले कमज़ोर हो सकते हैं।

स्रोत: वसायुक्त मछली, अंडे की जर्दी, गाजर और दूध।

Disclaimer: This content has been sourced and edited from [jagranhindi]

न्यूजपॉईंट पसंद? अब ऐप डाउनलोड करें